4.9/5

Average patient satisfact rating.

About Us

Dental Bliss Multispeciality Dental Clinic & Implant Center, Lucknow

Dental Bliss Multispeciality Dental Clinic & Implant Center is a trusted destination for comprehensive, modern dental care in Lucknow, committed to delivering excellence in oral health with precision, compassion, and advanced technology. Our clinic is designed to provide a relaxing, hygienic, and patient-friendly environment where every individual receives personalized attention and world-class treatment.

Our Treatment

Complete dental treatments for
a healthy smile

preventive-general-dentistry

Preventive & General Dentistry

This area of care focuses on keeping your teeth and gums healthy and preventing problems before they start. Through regular check-ups, professional cleanings, and early detection of cavities or gum issues, it helps maintain good oral health and supports a strong, confident smile for the long term.

braces-aligners

Braces & Aligners

we offer advanced Braces & Clear Aligner treatments to help you achieve perfectly aligned teeth and a confident smile. Whether you’re a teenager or an adult, our customized orthodontic solutions ensure effective, comfortable, and aesthetic results.

root-canal-treatment

Root Canal Treatment

This procedure is used to save a tooth that has been badly infected or damaged from the inside. By carefully removing the infected tissue and sealing the tooth, it helps relieve pain, stop the spread of infection, and preserve the natural tooth so it can function normally again.

orthodontics-dentofacial-orthopedics.aspx

Orthodontics & Dentofacial Orthopedics

Orthodontics & Dentofacial Orthopedics is a specialized branch of dentistry focused on correcting misaligned teeth, improper bites, and jaw irregularities.

dental-implants-full-mouth-rehabilitation.aspx

Dental Implants & Full Mouth Rehabilitation

Designed for people who have missing, damaged, or severely worn teeth, this care focuses on restoring both function and appearance. By replacing lost teeth and rebuilding the overall structure of the mouth, it helps improve chewing, speech

cosmetic-dentistry-smile-designing

Cosmetic Dentistry & Smile Designing

This area focuses on improving the appearance of your teeth and smile. By addressing concerns such as stains, uneven teeth, gaps, or minor misalignment, it helps create a more balanced, brighter,and confident smile

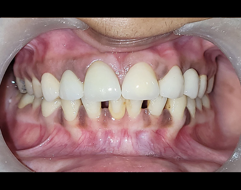
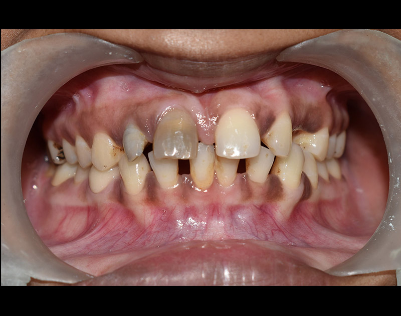
After/Before

See stunning smile transformation before and after

Braces-treatment-pre Braces-treatment-post

Our Team

Trusted dental team focused on patient care

Our gallery

Real Patients. Real Smile Transformations.

testimonials

What our happy patients say here

Discover real stories from patients who trusted us with their smiles and left happier than ever.

quote

I Had a great experience . The tooth implant process was quite smooth, done with such an ease, didn't feel the pain as if nothing happened. Dr. Nishita and Dr. Samarjit very calmly explained the entire procedure and done an amazing job. I am very happy and satisfied with the overall treatment. I recommend this clinic to everyone seeking any dental treatment.

icon

Era Singh

Patient

quote

Highly recommend! I have LOTS of anxiety about going to the dentist. After this visit, I have become an advocate. Dr. Samarjeet Singh and Dr. Nitisha Sinha were amazing. They made me feel comfortable and I believe the treatment plan is actionable and has my best interest in mind.

icon

Anil Vishwakarma

Patient

quote

Dental Bliss Clinic has really great doctors who take good care of you. They're super nice and make sure you feel comfortable and I highly recommend Dental Bliss Clinic for anyone seeking high-quality dental care delivered with compassion and expertise.

icon

Kashish Kumari

Patient